2018年4月20日凌晨,一辆救护车拉着一个血尿患者从墨江紧急转往昆明。当救护车到玉溪附近的时候,患者突然出现了失血性休克,生命危急,车上医务人员当机立断把患者就近送至玉溪市人民医院。
当患者到达医院急诊时,面色苍白重度贫血貌、脉搏细弱、血压下降、全身湿冷、生命垂危。介入医学科杨亚平副主任医师汇同重症医学科、泌尿外科等相关科室一起查看患者,并提出:患者诊断明确,可先在介入医学科行介入造影检查及栓塞止血治疗,然后再转入相关科室进行下一步的治疗。
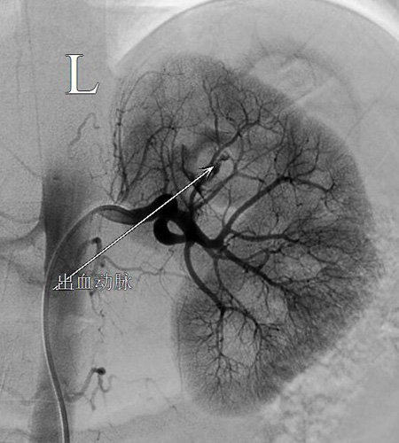
清晨6点25分,患者被送入介入手术室准备手术。当时患者神志不清,烦躁不安,引流出鲜红色血性尿。介入医学科为患者在局麻下穿刺右侧股动脉,行"左肾动脉造影+栓塞术”并栓塞止血成功。手术结束后,患者的尿色转为淡红色,转入重症医学科继续治疗。
术后,患者在重症医学科康复情况良好,神志清醒,尿色清亮,不再流出血性尿液,并在入院4天后顺利出院。



急诊介入手术栓塞止血前后对比
据介绍,肾出血引起血尿若是诊断及治疗不及时,可危及患者生命,保守治疗效果不佳,而手术探查具有盲目性,且难度大、风险高,创伤重。近年来,随着介人放射学快速发展,介人治疗技术已应用到急救医学领域,并发挥着极其重要的作用,此项技术具备诊断和治疗两种功能,使得动脉性出血的急诊(症)患者能够得到快速的诊断和治疗,该患者的生命能够得以挽回并最终保住左肾,介入"肾动脉造影+栓塞术”起到了关键性作用。(介入医学科 黄玉)