通用头部--玉溪市人民医院
首页
医院介绍
医院简介
现任领导
历任领导
历史沿革
荣誉墙
医院文化
新闻中心
玉医新闻
大玉医城市医疗集团
精彩视频
中山快讯
患者服务
就诊须知
预约挂号
便民措施
来院导航
楼宇分布
科普园地
新技术●新业务
投诉方式
科室导航●专家介绍
专家介绍
内科系统
外科系统
医技科室
儿科系统
门诊部
科研管理
科研动态
研究生动态
临床试验机构(GCP)
教育管理
院校教育
毕业后教育
继续教育
师资团队
党群工作
学习园地
党建动态
职工之家
团员风采
院务公开
政策法规
公示公告
招标采购
价格公示
医保政策
预决算公开
行风管理
人才招聘
招聘信息
公示栏
首页
>>
新闻中心
>>
玉医新闻
玉医新闻
大玉医城市医疗集团
精彩视频
中山快讯
玉溪市人民医院开展首例4K无线内窥镜下UNSES/AUSS手术
近日,玉溪市人民医院疼痛科团队成功开展首例4K无线内窥镜下UNSES/AUSS手术,为颈肩腰腿痛、椎间盘突出、椎管狭窄等患者提供更精准、更微创的治疗新选择。
2026-03-13
一图一故事 | 神内NICU护士:在明暗之间,守护生命微光
在医院的某个角落,有一扇门永远紧闭,门内的灯光永远明亮。这里是神经内科重症监护病房(NICU),住着最危重的病人,也守着最坚韧的护士。她们站在健康与疾病、生与死的交界线上,用每一个细微的动作,打捞生命的微光。
2026-03-13
玉医名医推荐:兴玉名医 徐松
徐松 主任医师 硕士 骨外一科(脊柱、创伤骨科)副主任
2026-03-16
科技赋能提质 成果辐射共享│玉溪市人民医院影像报告AI质控系统落地市二医院
近日,由玉溪市人民医院自主研发的“影像报告AI质控系统”正式与玉溪市第二人民医院签订使用协议并全面部署应用,标志着这一基于Qwen大模型的创新科研成果成功实现院内成熟应用后的院外延伸,为提升区域医疗质量同质化水平注入强劲科技动力。
2026-03-13
玉溪市人民医院首例器械GCP项目成功入组 国产ICD惠及重症患者
2026年3月4日,玉溪市人民医院心内科承接的磁共振(MR)环境下TILEN/EYLEN - INVICTA除颤系统安全性和有效性临床试验项目正式启动,作为西南地区首家启动该项目的临床研究中心,当日便完成西南首例受试者入组,在全国29家参与中心中率先突破,彰显了医院器械临床试验的高水平与高执行力。
2026-03-13
无痕微创+精准根治!玉溪市人民医院成功开展首例经口腔前庭入路甲状腺癌根治术
近日,玉溪市人民医院肝胆胰-甲状腺-血管外科成功完成我市首例经口腔前庭入路腔镜甲状腺癌根治术。该手术将无痕微创技术与甲状腺癌规范化根治标准完美结合,既实现了颈部完全无瘢痕的美容效果,又严格遵循肿瘤治疗原则,标志着医院甲状腺恶性肿瘤微创诊疗技术实现新突破,达到滇中地区先进水平。
2026-03-06
玉医名医推荐:兴玉名医 吕向阳
吕向阳 主任医师 硕士研究生 胸外科主任。获玉溪市人民医院“十佳”医师称号,昆明医科大学、大理医学院“优秀教师”,2024年入选玉溪市“兴玉英才”支持计划“兴玉名医”。
2026-03-06
一次取卵一次移植,11年求子终圆梦!
36岁的李女士(化名),在经历了11年的求子之路、多次助孕失败后,终于在玉溪市人民医院生殖医学科迎来了生命中最珍贵的礼物,一次取卵,一次移植,成功临床妊娠。这不仅是一个家庭的圆满,更是生殖医学科在疑难复杂生殖病例诊疗上的又一次实力见证。
2026-03-06
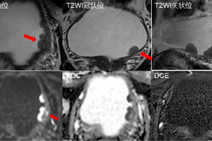
精准“照妖”,揪出早癌——特异性对比剂钆塞酸二钠投入临床应用
在肝脏疾病的诊断中,早期发现、精准定性是治疗成功的关键。我院医学影像部现已常规开展肝胆特异性磁共振对比剂——钆塞酸二钠检查技术,为肝脏占位的鉴别诊断开启“高清模式”。
2026-03-06
被“忽略”的身体警报:一次心肺运动试验,揪出胸痛背后的“真凶”
故事始于一名中年男性患者,他来到玉溪市人民医院心内科,向医生讲述:他总感觉胸口像压了一块石头,隐隐作痛持续一周,这感觉虽不剧烈,却持续困扰着他,让人不安。患者无高血压、糖尿病等病史,平素体检也未见明显异常。然而,对于一位体型偏胖(BMI 24.8kg/m²)、有十余年吸烟史的中年男性而言,心血管疾病的风险不容忽视。接诊医生在详细问诊和体格检查后,为他启动了一套严谨的排查流程。
2026-03-06
共 2901 条记录,每页10条
第一页
|
上一页
|
下一页
|
最末页
第
页
通用底部--玉溪市人民医院